無料初診予約
※ 2025年11月21日(金)以降に来院された方が対象です。​
※ 当保証は当グループで矯正治療された方が対象です。キレイラインの一部商品と小児矯正を除く。詳細はクリニックにお問い合わせください。​​
※ 保証は矯正後のリテーナー開始後2年間以上使用し、1年で最低3回・6か月以内の間隔で来院されている方が対象です。​​
※ 後戻り治療とは矯正治療終了時点から後戻りしてしまった分を元に戻す治療を指します。​

美しさを追求した
オーダーメイドの審美矯正を
ご提案します。

DDデンタルクリニックグループは、一人ひとりに合った審美矯正をリーズナブルな価格で
お届けする審美矯正専門矯正歯科グループです。
矯正歯科治療は、歯並びの症状や患者様のご要望により適切な矯正方法が異なります。
当グループでは、ワイヤー全顎矯正・目立たない裏側(舌側)矯正・マウスピース矯正・部分矯正など、
さまざまな矯正方法をご用意。
患者様の症状やご希望に合わせ、
幅広い選択肢の中からあなたに合った矯正プランをご提供いたします。

DDデンタルクリニックグループが
選ばれる理由

より美しさを追求した
審美矯正
海外人気の矯正など
自分に合う矯正が選べる
リーズナブルな価格と
治療期間短縮
全国23院の圧倒的な
症例数
高い診断力

DDデンタルクリニックグループ
5つの特徴

01

自分にピッタリ
矯正を選べる

自分にピッタリな矯正を選べる
DDデンタルクリニックグループは「費用をなるべく抑えたい」「できるだけ痛みを抑えて矯正がしたい」「なるべく早く治療を終わらせたい」といった患者様のニーズにこたえられるよう、幅広い選択肢を揃えています。

世界中で選ばれているインビザラインはもちろん、良質な国産マウスピース矯正装置から、革新的なテクノロジーを使用した新しい裏側矯正装置まで、あなたのライフスタイルやご希望に合わせて最適な治療プランをご提案します。

さらに、韓国の美容整形グループのドクターと連携した治療も行っています。
02

横顔を考慮した
審美矯正メニュー

当グループは、横顔も考慮した美しいお口もとへの改善に最大限の熱意と技術をもって取り組んでいます。

また、美しさをとことん追求した審美矯正にこだわる当グループでは、キレイな歯並び・お口元だけでなく、横顔全体の美しいバランス(Eライン)を考慮した治療を提供しています。 美容大国韓国の美容整形グループの歯科医師が監修した、口ゴボ改善のための矯正治療も導入しています。 美のプロフェッショナルであるドクターやスタッフが、あなたの「なりたい」を叶えます。

03

リーズナブルな価格

決済

「歯並びをきれいにしたいけど、費用が気になる…」とお悩みのあなたへ。当グループなら、患者様のご負担を軽減しながら、美しいお口元を目指すことができます。

当グループでは、一人でも多くの方に矯正治療を届けたいという想いから、すべての矯正治療費用を手の届きやすい価格にこだわりご提供しています。 機能面・審美性の両方を考慮した高品質な治療を、リーズナブルな料金で受けたいとお考えの方は、ぜひ一度ご相談ください。

04

全国23院の高い診断力

全国23院の高い診断力

当グループは、全国23院のネットワークを活かし、すべての治療を専門の治療管理部門が一括管理しています。

総院長のもと、患者様一人ひとりの治療プランや進捗状況を丁寧にチェックすることで、高い技術力はもちろんのこと、経験豊富なドクターとスタッフ全員が、患者様の気持ちに寄り添い、親身で丁寧な対応を心がけています。

05

充実した設備
診察環境

全国23院の高い診断力

土日診療アクセス良好

歯科用CT・パノラマレントゲンやセファロ、iTeroといった医療機器を23院すべてに完備。一人ひとりに合った診断と治療計画を立案します。
また全国にある各院は、主要駅から徒歩数分とアクセス良好な立地にあります。 土日診療も行っているほか、ご予約後のLINE登録で通常数万円かかることもある初回検診を無料で実施しています。
05

充実した設備
診察環境

全国23院の高い診断力

土日診療アクセス良好

歯科用CT・パノラマレントゲンや、iTeroといった医療機器を23院すべてに完備。一人ひとりに合った診断と治療計画を立案します。
また全国にある各院は、主要駅から徒歩数分とアクセス良好な立地にあります。 土日診療も行っているほか、ご予約後のLINE登録で通常数万円かかることもある初回検診を無料で実施しています。
※ 予約完了後LINE友達追加を頂くと、トーク画面で初回検診時のクーポンをお送りします。詳しくはこちらをご確認ください。

初回無料検診について

※予約完了画面でLINE友達登録を頂くと、トーク画面で初回検診無料クーポンをお送りします。初回検診ご来院時にご提示ください。
※会計時にクーポンをご提示頂けなかった場合は、通常の初回検診3,300円~5,500円が発生しますのでご注意ください。
※LINE友だち追加の有無に関わらず「予約日の前日・当日のキャンセル」「無断キャンセル」はキャンセル料3,300円~5,500円が発生します。
※ 予約完了後LINE友達追加を頂くと、トーク画面で初回検診時のクーポンをお送りします。詳しくはこちらをご確認ください。

初回無料検診について

※予約完了画面でLINE友達登録を頂くと、トーク画面で初回検診無料クーポンをお送りします。初回検診ご来院時にご提示ください。
※会計時にクーポンをご提示頂けなかった場合は、通常の初回検診3,300円~5,500円が発生しますのでご注意ください。
※LINE友だち追加の有無に関わらず「予約日の前日・当日のキャンセル」「無断キャンセル」はキャンセル料3,300円~5,500円が発生します。

DDデンタルクリニックグループ
ドクター・スタッフ

DDデンタルグループ代表取締役

歯科医師 木塚 慎哉

患者様が「美」と「健康」の両方を
手に入れるために

当グループは、審美矯正に最大限の熱意と技術を持って取り組んでいる矯正歯科グループです。

患者様の「美への想い」と「歯やお口元の機能的な改善」の両方を叶えるため、先進的な技術や治療法を積極的に導入しています。また、当グループには矯正経験豊富なドクターやスタッフが在籍するだけでなく、すべての患者様の症例や治療経過をグループ全体でチェックする中央機関もあります。

それぞれの経験や知識を持ち寄り、協力しあいながら患者様に誠心誠意対応させて頂きます。
初めての治療でご不安な方にも安心して治療をはじめられる環境を整えお待ちしております。相談だけでもかまいません。まずはお気軽にお近くのクリニックへご来院ください。

DDデンタルクリニックグループ代表理事

歯科医師 木塚 慎哉

DDデンタルクリニックグループ
審美矯正メニュー

治療の症例

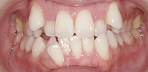
Brava矯正(裏側矯正装置)

Before
After
治療費用:698,000円(税込767,800円)
治療期間:約10ヵ月
再診料:44,000円(8回)
追加治療:
IPR・顎間ゴム・ボタン
(全て再診料に含まれる)

※効果には個人差があります。
※IPR・顎間ゴム・ボタンは患者様のご要望や症状により医師の判断のもと行われる追加治療です。
【主なリスク】痛み・口内炎・発音しづらい・後戻り

インビザライン(マウスピース・全顎矯正)

Before
After
治療費用:670,000円(税込737,000円)
治療期間:約1年2ヶ月
再診料:38,500円(7回)
追加治療:
抜歯35,200円(4本)
IPR・顎間ゴム・ボタン
(全て再診料に含まれる)

※効果には個人差があります。
※IPR・顎間ゴム・ボタンは患者様のご要望や症状により医師の判断のもと行われる追加治療です。
【主なリスク】痛み・歯根吸収・歯肉退縮・虫歯・後戻り

審美ワイヤー矯正

Before
After
治療費用:598,000円(税込657,800円)
治療期間:約2年3ヶ月
再診料:44,000円(8回)
追加治療:抜歯8,800円(1本)

※効果には個人差があります。
※抜歯は患者様のご要望や症状により医師の判断のもと行われる追加治療です。
【主なリスク】痛み・歯根吸収・歯肉退縮・虫歯・後戻り

キレイライン矯正(マウスピース・部分矯正)

Before
After
治療費用:300,000円(税込330,000円)
治療期間:約5ヶ月
再診料:19,800円(4回)
追加治療:IPR 8,800円(2回)

※効果には個人差があります。
※IPRは患者様のご要望や症状により医師の判断のもと行われる追加治療です。
【主なリスク】虫歯・歯周病・ブラックトライアングル・歯根吸収・歯肉退縮・マウスピースにより痛みを感じる可能性・治療中に一時的にかみ合わせに不具合をきたす可能性・動かした歯や歯周組織が安定するまで保定が必要。

※症例に関するお問い合わせ・全体にかかる注記はこちらをご確認ください ▶

【症例全体にかかる注記】

※お写真は患者様の許可を得て掲載しています。
※治療回数を元に最新の料金を、期間は実際にかかった治療期間を記載しています。
※上記に記載している費用以外に、初回検診料3,300円~5,500円(税込)および来院1回につき3,300円~5,500円(税込)の再診料、リテーナー費用22,000円~44,000円(上下・税込)が別途発生します。
※治療中は約6~8週間ごとにご来院いただきます。来院回数は歯科医師の判断により異なる場合があります。
※患者様のご要望や症状により医師の判断のもと追加治療(抜歯、IPR、顎間ゴムなど)を行う場合もあります。治療内容により異なりますので、詳細はクリニックにてご確認ください。

症例写真に関するご不明点やご質問がありましたら、メールにてお問い合わせください。
support@dd-dentalclinic.jp
※矯正歯科治療に関するリスク・副作用はこちらをご確認下さい ▶

【矯正歯科治療に関する注意事項・リスク・副作用】

[矯正歯科治療の注意事項]
・自費診療(保険適用外)となります。
・治療の効果や痛みの感じ方、歯の動く期間には個人差があります。
・症状が強い場合、歯科医師の判断のもと矯正治療以外の治療の併用を推奨する場合があります。また、骨格に問題がある歯並びは、矯正歯科治療のみでは修正が困難な場合があります。
[ワイヤー矯正・裏側矯正のリスク・副作用]
治療中の違和感や痛みの可能性、症状により抜歯やIPRが必要な可能性、むし歯・歯肉炎・歯周病・歯根吸収・歯肉退縮・歯髄壊死・口腔粘膜の傷・歯の骨性癒着・顎関節症を治療中に引き起こす可能性、矯正治療後の保定不十分による後戻りの可能性、装置による傷や口内炎の可能性
[マウスピース矯正のリスク・副作用]
治療中の違和感や痛みの可能性、症状により抜歯やIPRが必要な可能性、むし歯・歯肉炎・歯周病・歯根吸収・歯肉退縮・歯髄壊死・口腔粘膜の傷・歯の骨性癒着、顎関節症を治療中に引き起こす可能性、ブラックトライアングルが生じるリスク、1日20時間以上のマウスピース型矯正装置の装着が必要、治療中一時的に噛み合わせに不具合をきたす可能性

審美矯正治療

裏側矯正

698,000円(税抜)
767,800円(税込)
裏側矯正
  • 矯正先進国アメリカで特許を取得した歯への負担を軽減した矯正装置
  • 最短9ヶ月※とほかの矯正方法と比べ治療期間が短い
  • 従来の裏側矯正と比べリーズナブル
  • 日本で初めて導入し、国内症例数多数
Read more

※治療期間には個人差があります。保定治療期間は含みません。

審美ワイヤー矯正

審美ワイヤー矯正
598,000円(税抜)
657,800円(税込)
  • 全ての治療プランを、韓国美容外科グループ専属ドクターがチェック
  • 口ゴボ・Eラインの改善を目指す審美ワイヤー矯正
  • 加速装置導入で治療期間を短縮※
  • ハーフリンガルにも対応
Read more

※加速装置の無料提供は初回検診当日契約の場合に限ります。

マウスピース矯正(全顎)

320,000円(税抜)~
352,000円(税込)~
マウスピース矯正(全顎)
  • 世界中で治療されているマウスピース矯正インビザライン
  • 目立たず取り外しのできるマウスピース矯正で歯並び全体の治療が可能
  • 全顎矯正(コンプリヘンシブ)には加速装置を無料提供※
Read more

※加速装置の無料提供は初回検診当日契約の場合に限ります。

マウスピース矯正(部分)

マウスピース矯正(部分)
180,000円(税抜)~
198,000円(税込)~
  • 一番目立つ前歯をスピーディーに治療できる!全顎矯正にも対応
  • ホワイトニングも同時にできるマウスピース矯正
  • リーズナブルな料金で歯並び矯正を始めたい方におススメ
Read more

自分に合う矯正方法がわからなくても大丈夫です。まずは初回検診をご利用ください。
初回検診であなたに合った矯正方法をご提案します。

※ 予約完了画面でLINE友達登録を頂くと、トーク画面で初回検診無料クーポンをお送りします。詳しくはこちらをご確認ください ▶

初回無料検診について

※予約完了画面でLINE友達登録を頂くと、トーク画面で初回検診無料クーポンをお送りします。初回検診ご来院時にご提示ください。
※会計時にクーポンをご提示頂けなかった場合は、通常の初回検診3,300円~5,500円が発生しますのでご注意ください。
※LINE友だち追加の有無に関わらず「予約日の前日・当日のキャンセル」「無断キャンセル」はキャンセル料3,300円~5,500円が発生します。

DDデンタルクリニックグループ
全国23クリニック展開

全国で23院のクリニックを展開している当グループでは、
グループ内での転院制度を設けています。
矯正治療中にお引越しなどのご事情があっても安心して治療を継続いただくことができます。

埼玉・千葉・神奈川

北海道・宮城・新潟・石川

愛知・静岡

大阪・京都・兵庫

福岡・熊本

※提携しているコレクトデンタルクリニックでも同様の治療が受けられます

DDデンタルクリニックグループ
治療費用・お支払い

当グループの診療は全て自由診療で行っております。
詳しくは料金一覧をご覧ください。

よくある質問

どの矯正方法が自分に合うかわからない・・・

まずはこちらからご予約ください。

無料相談と精密検査であなたに合った矯正方法をご提案します。

※ 予約完了画面でLINE友達登録を頂くと、トーク画面で初回検診無料クーポンをお送りします。詳しくはこちらをご確認ください ▶

初回無料検診について

※予約完了画面でLINE友達登録を頂くと、トーク画面で初回検診無料クーポンをお送りします。初回検診ご来院時にご提示ください。
※会計時にクーポンをご提示頂けなかった場合は、通常の初回検診3,300円~5,500円が発生しますのでご注意ください。
※LINE友だち追加の有無に関わらず「予約日の前日・当日のキャンセル」「無断キャンセル」はキャンセル料3,300円~5,500円が発生します。

マウスピース全顎矯正

インビザラインを
リーズナブルな価格で

詳しく見る

裏側矯正

リーズナブルで
スピーディーな裏側矯正

詳しく見る

マウスピース部分矯正

10万円台で始められる
目立たない部分矯正

詳しく見る

審美ワイヤー矯正

韓国美容グループ監修
横顔・Eラインを整える

詳しく見る

リーズナブルな審美矯正

渋谷・池袋・新宿・新橋・吉祥寺・八王子・横浜・茅ヶ崎・柏・船橋・名古屋・心斎橋・梅田・静岡・札幌・仙台・京都・新潟・金沢・神戸・大宮・福岡・熊本

東京

■ アルディバラン渋谷デンタルクリニック
TEL:03-6455-2925
診療案内WEB予約

■ 池袋DDデンタルクリニック
TEL:03-6709-6581
診療案内WEB予約

■ 新宿駅前矯正歯科クリニック
TEL:03-5937-3018
診療案内WEB予約

■ 新橋DDデンタルクリニック
TEL:03-3528-8335
診療案内WEB予約

■ コレクトデンタルクリニック 吉祥寺
TEL:0422-27-5885
診療案内WEB予約

■ コレクトデンタルクリニック 八王子
TEL:042-624-8622
診療案内WEB予約

埼玉・神奈川・千葉

■ 大宮駅前矯正歯科クリニック
TEL:048-788-4375
診療案内WEB予約

■ 横浜DDデンタルクリニック
TEL:045-577-4977
診療案内WEB予約

■ コレクトデンタルクリニック 茅ヶ崎
TEL:0467-57-7000
診療案内WEB予約

■ コレクトデンタルクリニック 柏
TEL:04-7136-7745
診療案内WEB予約

■ コレクトデンタルクリニック 船橋
TEL:047-423-1855
診療案内WEB予約

北海道・宮城・新潟・石川

■ 仙台青葉矯正歯科クリニック
TEL:022-796-0856
診療案内WEB予約

■ 新潟矯正歯科クリニック
TEL:025-240-9260
診療案内WEB予約

■ コレクトデンタルクリニック 札幌
TEL:011-200-0489
診療案内WEB予約

■ コレクトデンタルクリニック 金沢
TEL:076-254-1471
診療案内WEB予約

静岡・愛知

■ 静岡呉服町デンタル矯正歯科
TEL:054-270-7723
診療案内WEB予約

■ 名古屋DDデンタルクリニック
TEL:052-684-9815
診療案内WEB予約

大阪・京都・兵庫

■ 梅田駅前矯正歯科クリニック
TEL:06-4309-7800
診療案内WEB予約

■ 心斎橋DDデンタルクリニック
TEL:06-4963-2844
診療案内WEB予約

■ 京都四条矯正歯科クリニック
TEL:075-741-8323
診療案内WEB予約

■ 神戸三ノ宮駅前デンタル矯正歯科
TEL:078-599-7192
診療案内WEB予約

福岡・熊本

■ 天神駅前矯正歯科クリニック
TEL:092-791-5249
診療案内WEB予約

■ 熊本上通矯正歯科クリニック
TEL:096-319-5037
診療案内WEB予約